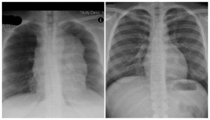
In April 2007 I went to a walk-in clinic because of flu-like symptoms. After a chest x-ray, the doctor’s words were “I have never seen anything like this before” and I was admitted to the emergency room. There, they confirmed that I had a mass sitting on my heart and my lung and I was transported to the University of Washington Medical Center. Weeks later, at the age of 29, I was diagnosed with stage 4 Hodgkin’s Lymphoma.
A cancer diagnosis is not what you expect to hear at this age, regardless of who you are and the age group of 18 – 45 is the group with least visibility and therefore with the fewest services. We also have unique needs: we are the most likely to be underinsured, too old to be on our parents, not necessarily old enough to have a good job with benefits; preparing for the rest of your adult life and reproductive health; and making sure our finances and affairs are in order. Things that we wouldn’t normally have to worry about. But there was one organization that helped me through that from the moment I was diagnosed. The Leukemia and Lymphoma Society offered a young adult cancer group, not just about getting the services you need while going through treatment but about SURVIVORSHIP, education for life-planning, connections to support services, and then learning how to pay-it-forward and help out the next generation.
– Junelle K., EGP Administrator


